The latest updates on our office’s reopening process. Please learn more about the changes we have implemented to help keep our patients and friends safe.
Latest updates on our reopening process - learn more.
212-288-4455
make an appointment
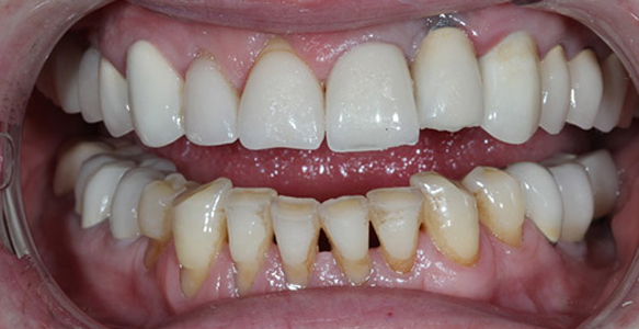
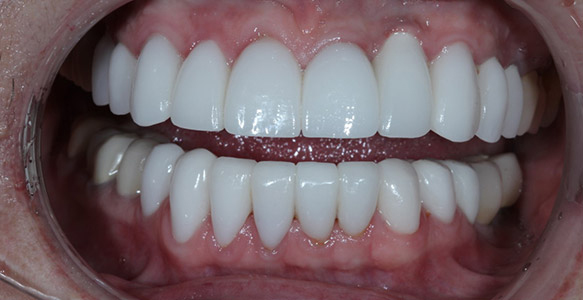
Crowns
© 2025. New York Center for Cosmetic Dentistry. All Rights Reserved. Privacy Policy | Accessibility